Restore Your Smile with Painless & Long-Lasting Tooth Fillings
Cavities can cause discomfort, sensitivity, and even tooth decay if left untreated. At Dental Canvas, we offer dental filling in Marathahalli that not only restore your tooth but also blend seamlessly with your natural teeth.
Whether you have a small cavity or need a replacement for an old filling, our advanced dental filling treatments ensure durability, aesthetics, and comfort.
What is a Dental Filling?
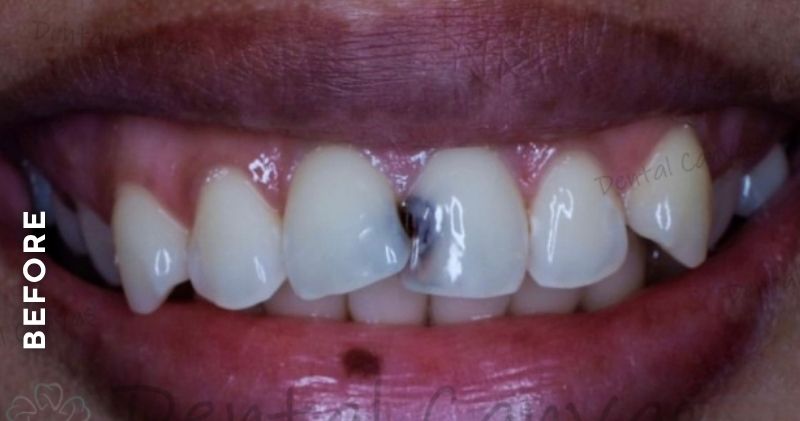
A dental filling is a dental procedure to restore a decayed, damaged, or broken tooth. When bacteria attack the tooth enamel, they create cavities or holes. If not treated before, these cavities can expand, leading to severe tooth pain and infections.
A cavity filling involves cleaning out the decayed part and filling the cavity with a suitable material to restore its shape and function.
Types of Tooth Fillings We Offer
At Dental Canvas, we provide various types of cavity fillings in Marathahalli, depending on your needs and preferences:
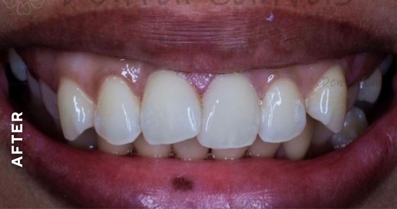
Tooth-Colored Composite Fillings: Made of a resin-based material that matches the color of your natural teeth. Ideal for front and back teeth due to their aesthetic appeal. Bonds well with the tooth structure, reducing the risk of breakage.
Silver Amalgam Fillings: Strong and long-lasting, suitable for molars where chewing pressure is high. More cost-effective than composite fillings.
Glass Ionomer Fillings: Releases fluoride to help protect against further decay. Suitable for children and non-load-bearing areas of teeth.
Ceramic Fillings: Made of porcelain, offering superior aesthetics and durability. Resistant to staining compared to composite fillings.
Why Do You Need a Tooth Filling?
A tooth filling treatment is essential for multiple reasons:
Stops Cavity Progression: Prevents further decay and damage to the tooth.
Restores Tooth Function: Allows normal chewing and speaking without discomfort.
Prevents Tooth Loss: Untreated cavities can lead to infections, increasing the risk of tooth loss.
Aesthetic Benefits: Tooth-colored fillings blend naturally, enhancing your smile.
Signs You Need a Cavity Filling
You might need a cavity filling if you experience:
If you notice any of these symptoms, visit our dental clinic in Marathahalli for a quick diagnosis and effective treatment.
The Cavity Filling Procedure: What to Expect at Dental Canvas
Our tooth filling treatment in Marathahalli follows a pain-free and precise process:
1. Examination & Diagnosis: The dentist will assess the damaged tooth and determine the depth of the cavity using digital X-rays in order to suggest the best course of treatment.
2. Anaesthesia (If Needed): If a cavity is deep and the patient cannot tolerate pain, anesthesia is used.
3. Decay Removal: The decaying region is meticulously removed using advanced dental instruments.
4. Tooth Cleaning & Preparation: To get rid of bacteria and stop further decay, the cavity is cleaned.
5. Filling Placement: After selecting a filling material, it is applied and sculpted to fit your tooth's natural contour.
6. Final Adjustments & Polishing: For a comfortable fit, bite adjustments are done, and the filling is polished.
Advantages of Selecting Coloured Fillings for Your Teeth
Choosing cavity fillings comes with multiple advantages. Let's see below:
1. Creates an undetectable repair by matching the shade of your teeth.
2. Reduces the likelihood of breaking by adhering firmly to the tooth.
3. More of your original tooth structure is preserved.
4. In contrast to silver amalgam fillings, composite fillings don't contain any dangerous mercury.
Aftercare Tips for Long-Lasting Fillings
To extend the life of your dental filling, adhere to these easy aftercare guidelines:
Maintain Good Oral Hygiene: Use fluoride toothpaste to brush twice a day and floss frequently.
Avoid Hard & Sticky Foods: Excessive force can dislodge or wear down fillings.
Limit Sugary & Acidic Foods: Prevents further decay and staining.
Regular Dental Check-ups: Visit the clinic every 6 months for routine cleanings and filling assessments.
Cost of a Tooth Filling in Marathahalli
The cost of teeth fillings in Marathahalli depends on various factors, including the type of filling, the number of fillings, and the severity of the cavity or any other required treatment.
To learn more about the tooth filling cost in Marathahalli, book an appointment with our expert at Dental Canvas.
Why Choose Our Dental Canvas in Marathahalli?
We stand out for the tooth filling in Marathahalli because of:
Book Your Appointment Today at Dental Canvas!
If you're looking for tooth coloured filling in Marathahalli, book an appointment with our expert dentists who provide quick, comfortable, and effective solutions to restore your teeth.
Your smile deserves the best care – let us help you protect it!
FAQ's
Tooth fillings are not painful. Though some sensitivity might occur, which can subside afterward.
The cost of a tooth filling varies based on the material and the number of fillings you choose, and additional required treatments.
Fillings typically last several years, depending on the material used and the care taken to maintain oral health.
